
Orthodontic treatment with braces is one of the most effective ways to fix crooked teeth, bite problems, and jaw alignment issues. The images above show real orthodontic cases from the start of treatment (before), the correction phase (during), and the final results (after braces).
If you are thinking about getting braces, this guide explains the process clearly and simply.
Before Braces: Understanding the Problem
Before treatment begins, many patients experience:
- Crowded or overlapping teeth
- Gaps between teeth
- Overbite, underbite, or crossbite
- Teeth that are not aligned properly
- Difficulty cleaning teeth due to crowding
As seen in the “before” images, teeth may appear uneven or misaligned. This can affect not only appearance but also oral health, speech, and chewing.
Why Early Assessment Matters
An orthodontic examination helps identify:
- Jaw alignment issues
- Bite problems
- Tooth positioning
- The best type of braces for your case
Early diagnosis leads to better and faster results.

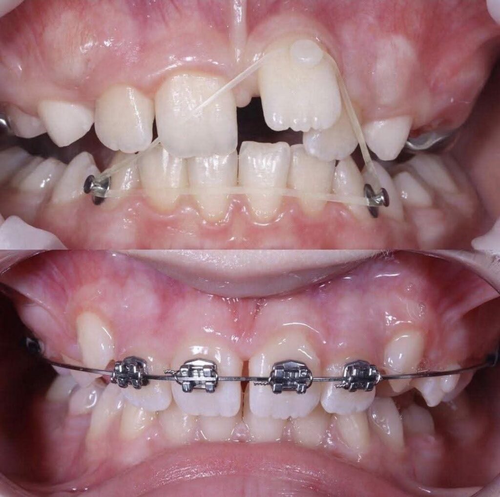
During Braces Treatment: The Correction Process
The “during treatment” images show braces actively working to move teeth into proper alignment.
What Happens During Treatment?
- Brackets are attached to the teeth
- Archwires apply gentle pressure
- Elastic bands help guide bite correction
- Teeth slowly move into the correct position
You may notice:
- Mild discomfort at the beginning
- Tightness after adjustments
- Gradual improvement in alignment
This phase can last 12 to 24 months, depending on the severity of the case.
Types of Braces Used
- Metal braces
- Ceramic braces
- Colored or elastic braces
- Bite-correcting appliances
Each option is chosen based on patient needs and treatment goals.
After Braces: Final Results and Smile Transformation
The “after” images show the most exciting part — a straight, healthy, confident smile.
Benefits After Braces Treatment
- Straight and well-aligned teeth
- Improved bite and jaw function
- Easier brushing and flossing
- Better oral hygiene
- Boosted self-confidence
To maintain results, patients usually wear retainers to keep teeth in place.
Are Braces Worth It?
Yes. Braces are not only about looks. They improve:
- Oral health
- Long-term dental stability
- Chewing and speech
- Overall quality of life
Modern orthodontic treatments are safer, more comfortable, and more effective than ever before.
Who Can Get Braces?
Braces are suitable for:
- Children
- Teenagers
- Adults
It is never too late to improve your smile.
Book Your Orthodontic Consultation Today
If you are experiencing crooked teeth or bite problems, orthodontic treatment can help. A professional consultation will determine the best treatment plan for your needs.
A straight smile is a healthy smile.
